Most wouldn’t know what to do if they broke their leg stranded on a beach with no cell phone. Then again, not many people would be alone without a cell phone to begin with…
One man found himself in that exact situation, but instead of giving up, he used every resource he could to make it to safety…
On Holiday
Tim Robinson, a former infantry sergeant of the British Army, was on holiday in Bridport, Dorset, a town in England. While enjoying a walk down the beach, Robinson slipped on a piece of seaweed lying in the sand and fell, breaking his leg.
All Alone With No Phone
In a decision he probably regretted at the time, Robinson did not bring his cell phone with him when he left for his walk. No one was in site or within earshot, but as Robinson lay helpless he remembered his military training, and Bear Grylls…
Being Resourceful
Robinson remembered, “You watch these survival programs like Bear Grylls and think about what is around you to help you.” After hopping and hobbling around on the beach, the pain became too much to handle. He stopped and thought about what to do…
No Other Choice
With no phone and no one around, and with his leg dangling like a broken tree limb, Robinson had a decision to make. He could either continue this way in pain and hope that someone happened to see him, or he could try something else…
Getting Going
The army vet had spent two tours in Afghanistan and one in Iraq, so even though his current situation was dire, there’s no way it was going to be his end. It didn’t matter that his leg had rendered him partially immobile, Robinson still had the ability to crawl, and so he did…
Signaling For Help
The choice was easy but the crawl was tough. Robinson told the Daily Mail, “After I crawled to about a mile-and-a-quarter away from the car park […] I started flashing my torch in SOS and spinning it over my head to create a Buzz-Saw signal which is a way of attracting helicopters in the armed forces…”
Is Anyone Out There?
No one seemed to be around. At least, no one that could read Roboinson’s signals for help. Once again the army vet had to either stay where he was and wait for help or get moving. He described the ordeal as “dramatic,” and was clearly scared for his life. In his mind he had no choice.
Persistent
“There was no response to begin with so I crawled for five minutes and covered about 50 meters before making the same signal three times,” Robinson said. Most people couldn’t imagine crawling for any distance with a broken leg, but Robinson wasn’t about to give up.
Finally A Sign
In what appeared to be a miracle, Robinson finally got a response. “I kept on doing that and after the third or fourth time I saw a torch flashing back.” It was finally a sign from someone who could help, but who was on the other end?
The One And Only
“It was my wife,” Robinson said, “and she was shining the torch in a sequence in response to my signal. We got a routine going where I crawled for five minutes, stopped, signaled and she replied.” Thankfully the army vet’s wife knew something must’ve been wrong and went looking for her husband.
Keep Going
Even though his wife was there helping him, Robinson had a long way to go. The army vet remembers continuing his crawling-signal routine in several intervals while making his way to his wife. All the while his broken leg hurt increasingly worse and was at risk of infection…
Within Earshot
After several stretches of crawling and signalling, Robinson and his wife were able to hear each other shouting. It was the first time he felt that he would actually be saved.
Calling For Help
All the while, Mrs. Robinson called for help. She kept moving toward her husband, shining her light and eventually shouting. As they got closer to each other she waited anxiously for help to arrive. She had no idea how hurt her husband actually was…
Help Arrives
Robinson’s condition was worse than Mrs. Robinson thought. He needed and ambulance and medical care immediately. The fact that he had crawled for so long in such a condition showed how dedicated Robinson was to surviving. Luckily, a coats guard crew finally showed up…
No Ambulance
After stabilizing Robinson’s leg, the coast guard informed him that no ambulance was near and they would have to wait. But apparently it wasn’t so bad a time. “The coastguards and lifeboat guys were excellent and really professional,” Robinson remembered. “They kept my morale up and had a bit of banter when they found out I was an army reservist.”
Excruciating Pain
The first thing the paramedics did once Robinson was in the ambulance was try to remove his boot. But the pain shot through his body and was so excruciating they needed to give him a shot of morphine.
Flopped Foot
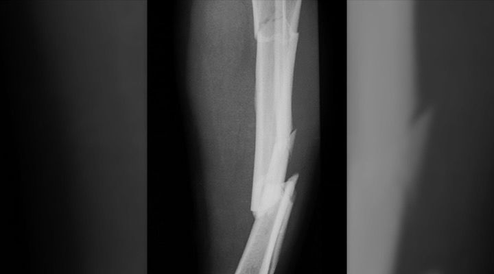
After giving Robinson some pain medication, the ambulance crew was able to get the boot off. After removing it they knew just how bad the break was. “When they did my foot just flopped to the side in a horrible shape,” Robinson said.
Unreal
The coast guard and lifeboat rescuers couldn’t believe what Robinson had put himself through. They were amazed that this man had the fortitude to crawl such a distance, more than a mile in total, after suffering such a wound.
Kind Words
Jon Broome, the leader of the rescue mission and rescuer from Lyme Regis Lifeboat, offered an observation: “He [Robinson] is a full-time Territorial Army guy and his military background came to the fore.” If it weren’t for his training, Robinson may not have been saved.
Doing Just Fine
Tim Robinson is thankfully doing just fine after the ordeal. If it weren’t for his training and knowledge of Morse code he may not have made it. Mrs. Robinson is grateful her husband was resourceful and persistent enough to make it back to safety. He’ll carry his cell phone with him at all times now…



















