In the summer of 2013, a little girl went swimming at an Arkansas water park and the next day she was rushed to the hospital where doctors diagnosed her with a fatal condition.
She was one of only three people in the United States to be diagnosed with this rare infection she contracted from the water park. Today, many people are still unaware of this deadly parasite known to thrive in water…
Willow Springs Water Park
On a warm summer day, Kali Hardig, 12, and two of her friends hopped into the car to go to Willow Springs Water Park. She loved the water and spent most of her time swimming at the water park near her house in Arkansas.
Swimming
It was a day that Kali remembers vividly, as she came home from swimming and told her mother, Traci, she had a bad headache. Her mother assumed it was from too much time in the sun or dehydration, being unaware of what was really going on.
Headache
By later that day, Kali couldn’t get rid of her headache and she didn’t even want to get out of bed. “Mama,” she said, “just let me sleep,” Kali recalled to BuzzFeed. Even with the Motrin and Tylenol, her temperature was still over 103 F and Kali’s eyes rolled to the back of her head.
Doctor’s Appointment
She had a doctor’s appointment at 3 pm, but at 12 pm, Traci called her husband Joseph saying “I got her in, but I don’t know if she’s going to make it that long.” Traci’s mother, Linda, drove over to the house and the two put Kali on a bed of wet towels in the back of the car.
Arkansas Children’s Hospital
Linda drove as fast as she could to the emergency room at the Arkansas Children’s Hospital in Little Rock. At the ER, Traci told doctors that this couldn’t be an ordinary flu. When the doctors ask to do a spinal tap to rule out meningitis, Traci told them Kali was terrified of needles. But thankfully Traci willingly let them stick an IV in her arm.
Excruciating Pain
She was in so much pain at that point that a needle wasn’t going to affect her much. A doctor then extracted a sample of cerebrospinal fluid from the horsetail of nerves that extend from the brain down to the spine. The sample went to Tameka Reed, a technician at the hospital’s microbiology lab, and she was amazed at what she saw.
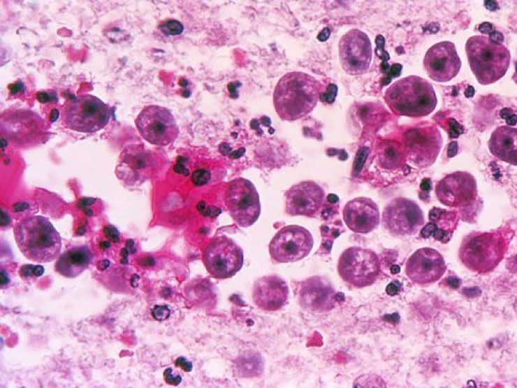
Naegleria Fowleri
What she saw was not bacteria or fungi, but instead, a pinkish scrum of white blood cells clustered around a white blob. The head of the department said it looked like Naegleria fowleri, although it was something she had never seen before.
Spreading
The hospital had only diagnosed two previous cases, both which ended in deaths. A call immediately went out to Dr. Matt Linam, one of the hospital’s infectious disease specialists, and the story soon spread. When Linam notified the family that Kali had Naegleria fowleri, they were speechless, not having a clue what this meant.
Diagnosis
Then, the head doctor took Traci and Joseph into a room and explained it to them. “He told us what she had, and he said, ‘she won’t make it through the weekend,’” Joseph recalled. This was another piece of terrible news for the family as Traci was fighting her sixth recurrence of breast cancer and Joseph had just returned from serving in Kuwait to take care of her.
Chance Of Survival
Now, they faced losing their daughter. “It’s hard to wrap your head around,” Joseph said. “They gave her a one percent chance of survival.” The family learned that Naegleria fowleri thrive in freshwater and when it’s warm, they crawl through mud and sediment to fest on bacteria. The organism’s form resembles a dragon fruit covered in mouth-shaped suction cups, and swallowing one or even more can be harmless since gastric acid inferno burns them to a crisp.
Deadly Parasite
But, if the organism gets flushed up your nose, there’s a chance it can attach to the nasal mucosa and dissolve the barrier and wander into the brain. “It’s like it’s on a highway direct to the brain,” says Nicole Iovine, an infectious disease doctor, and director of Antimicrobial Management Program at the University of Florida.
Brain-Eating Amoeba
Once it works its way up to to the brain cells, it multiplies and scientists call it a free-living amoeba. The organism exploits a weakness in the body’s defense and by the time the immune system responds to the inflammation, the brain begins to swell. The brain-eating amoeba is 99 percent fatal, with only a one percent survival rate.
Devastated Parents
Upon hearing the news, the family started to cry but Traci said, “I can’t plan a funeral.” Joseph replied, “We’re not. We’re going to go in there and tell her to fight.” No one explained this diagnosis to Kali, although she wondered about the bags of fluid hanging over her head. “Why are they giving me Mountain Dew?” Kali recalled to BuzzFeed.
Drug
The same week that Kali fell ill, the CDC’s Free-Living Ameba Laboratory in Atlanta received a drug called miltefosine that is made in Germany but not distributed in America. Before 2013, hospitals would not be able to get the drug in fast enough from Europe and patients would die before it would arrive. But the day after Kali’s hospitalization, the first shipment left Atlanta for Little Rock.
Airport
“First they said, ‘It’s on its way,’” says Traci. “Then they came back in and said, ‘We’ve got bad news. Delta lost it.’ It was lost in baggage control, so the head doctor, he went out to the airport instead of having it delivered. He didn’t want it to get lost again.” That next day, on Sunday, doctors added miltefosine to Kali’s regimen of antibiotic drugs.
In The Water
As Kali fought for her life in the hospital, that Tuesday, Traci taped a segment for the 9 o’clock news. “If your child has been swimming anywhere and they start complaining – their head hurting and running a fever or just not acting normal – go to the doctor.” She didn’t mention the beach or the water park, but the amoeba lived in water and as far as the public knew, it could be anywhere.
Spike In ER Visits
That weekend, the hospital saw a spike in emergency room visits, about 20 more than average for the month. By Thursday, six days after Kali had arrived at the hospital, she was still in an induced coma. Traci was receiving Facebook messages from people who heard her story on the news and had unfortunately lost their child to the deadly parasite.
Miracle
After one month in the ICU, Kali was wheeled out and had to learn to use her tongue again. Kali’s parents still didn’t explain to her how she ended up with tubes down her nose as there was no sense in scaring her. She’d lost 25 pounds and had to wear braces to walk and the fact she survived is a miracle.
Kali’s Survival
Dr. Matt Linam at Arkansas Children’s Hospital found it hard to attribute a single factor to Kali’s survival. Some suspect the amoeba was not as virulent or perhaps Kali had been exposed to the organism previously and somehow built up an immunity to it. “If they hadn’t identified it until the next day,” Dr. Linam says, “we probably wouldn’t be having this conversation.”
Against All Odds
But Kali is a fighter and against all odds, she made it through. “It’s awesome to be home,” Kali told CNN. After 55 days, Kali walked away from the hospital as one of the world’s few survivors of the rare and deadly brain-eating amoeba. She has been undergoing rehab and plans to head back to school part-time. In the meantime, she’ll be at class in the morning and in physical and speech therapy in the afternoons.



















